Тянущая, ноющая боль внизу живота, ставшая вашим постоянным спутником. Она усиливается после долгого рабочего дня, перед менструацией или после интимной близости, отравляя моменты, которые должны приносить радость. Вы начинаете свой диагностический квест: визит к гинекологу, затем к урологу, гастроэнтерологу, неврологу. Вы проходите десятки обследований, сдаете анализы, но раз за разом слышите одну и ту же фразу: «По нашей части все в норме, серьезной патологии нет». Этот бесконечный круг поисков и отсутствия ответов изматывает, заставляет сомневаться в собственных ощущениях и приводит в отчаяние. Знакомо?
К сожалению, для миллионов женщин это не просто история, а реальность. Часто за этими мучительными симптомами скрывается диагноз-«невидимка» - варикоз вен малого таза (или синдром тазового венозного полнокровия). Его симптомы настолько искусно маскируются под другие заболевания, что женщины могут годами страдать от боли, не получая правильного лечения. В этой статье мы хотим стать вашим проводником, пролить свет на эту скрытую проблему, рассказать, почему она возникает, как ее распознать, и какие современные, эффективные методы лечения существуют сегодня, чтобы разорвать порочный круг боли и вернуть вам высокое качество жизни.

Причины и симптомы варикоза малого таза: кто в группе риска?
По своей сути и механизму развития, варикоз малого таза это близкий «родственник» варикозного расширения вен на ногах. В основе проблемы лежит сочетание двух факторов: врожденной или приобретенной слабости венозной стенки и несостоятельности венозных клапанов. В норме эти крошечные клапаны внутри вен работают как односторонние ворота, пропуская кровь только в одном направлении - вверх, против силы тяжести, к сердцу. Когда их функция нарушается, они перестают полностью смыкаться. Кровь под действием гравитации устремляется вниз, возникает застой (рефлюкс), который приводит к перерастяжению, деформации и извитости вен вокруг матки, яичников и мочевого пузыря.
Почему это преимущественно женская проблема?
Главными виновниками развития заболевания у женщин являются беременность и гормональные перестройки. Во время беременности происходит двойной удар по венам малого таза. Во-первых, растущая матка механически сдавливает крупные вены, затрудняя отток крови. Во-вторых, в организме резко повышается уровень гормона прогестерона, который обладает расслабляющим действием не только на матку, но и на гладкую мускулатуру венозных стенок, делая их более слабыми и податливыми. Часто после родов вены уже не могут полностью вернуться в свое первоначальное состояние.
Основные факторы риска, которые стоит знать:
- Беременности и роды: Две и более беременности значительно повышают риск.
- Наследственная предрасположенность: Если у ваших близких родственников есть варикоз на ногах, геморрой или другие проявления слабости соединительной ткани (плоскостопие, гипермобильность суставов), вы в группе риска.
- Особенности образа жизни и работы: Длительное пребывание в положении стоя или сидя, тяжелый физический труд, хронические запоры.
- Гинекологические особенности: Использование гормональных контрацептивов, загиб матки, воспалительные заболевания органов малого таза.
- Врожденные анатомические аномалии: Например, синдром Мея-Тернера или синдром «щелкунчика», при которых вены сдавливаются артериями, что создает препятствие для оттока крови.
Симптомы-«маски», которые должны насторожить
Ключевая сложность диагностики - в неспецифичности проявлений. Основной симптом - синдром хронической тазовой боли, который может проявляться по-разному.
- Характер боли: Это не острая, кинжальная боль. Чаще всего пациентки описывают ее как постоянную, тянущую, ноющую, распирающую. Возникает ощущение тяжести внизу живота, которое усиливается к вечеру.
- Связь с положением тела: Боль заметно усиливается после длительного стояния или сидения и, наоборот, уменьшается или полностью проходит в положении лежа.
- Связь с менструальным циклом: Характерно усиление боли во второй половине цикла и во время менструации (выраженный ПМС и болезненные месячные).
- Боль при интимной близости (диспареуния): Дискомфорт или боль во время или сразу после полового акта является очень характерным признаком венозного застоя.
- Видимые признаки: Иногда внутренний варикоз «прорывается» наружу в виде расширенных вен в нетипичных местах: в области промежности, на наружных половых органах, на ягодицах или по задне-внутренней поверхности бедер.
- Урологические и другие симптомы: Могут наблюдаться учащенное или болезненное мочеиспускание (при отсутствии инфекции), ощущение неполного опорожнения мочевого пузыря, повышенная раздражительность.
Как найти «невидимку»: современная диагностика варикоза вен малого таза

Правильная диагностика это уже половина лечения. Она требует от врача специальных знаний и применения современных методов визуализации. Стандартного гинекологического осмотра на кресле часто бывает недостаточно, чтобы увидеть проблему.
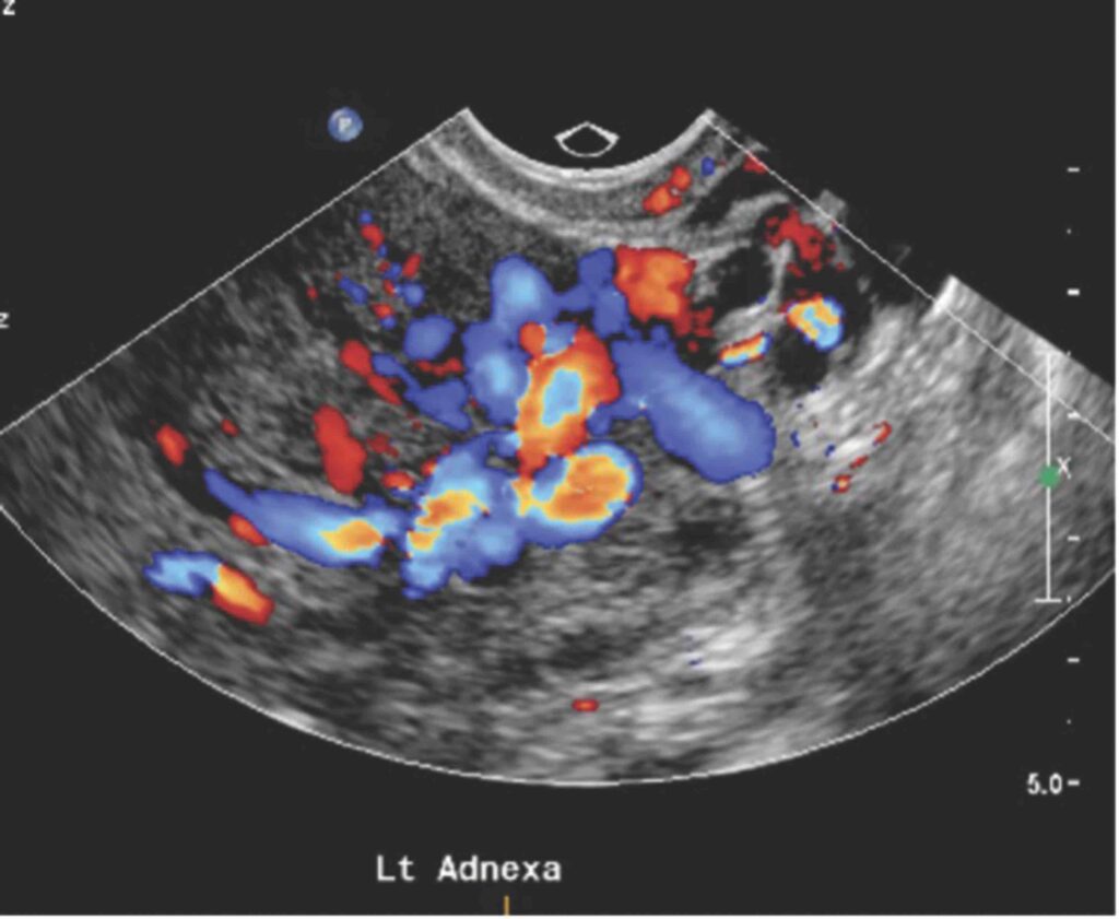
Ультразвуковое исследование - первый и главный шаг
«Золотым стандартом» неинвазивной диагностики является ультразвуковое исследование, выполненное на аппарате экспертного класса. Врач проводит его в несколько этапов: трансабдоминально (датчиком по животу) и трансвагинально. Это позволяет не просто осмотреть матку и яичники, но и прицельно изучить сосудистые сплетения вокруг них. С помощью специального допплеровского режима врач может:
- Обнаружить варикозно расширенные вены и измерить их диаметр (диагностически значимым считается диаметр более 5 мм).
- Оценить скорость и, что самое главное, направление кровотока.
- Провести функциональные пробы (например, пробу Вальсальвы - натуживание), чтобы спровоцировать и зарегистрировать патологический рефлюкс (обратный заброс крови).
Именно выявление этого рефлюкса является ключевым подтверждением диагноза.
Когда нужны более сложные методы?
В некоторых случаях, для уточнения анатомии и планирования высокотехнологичного лечения, могут потребоваться дополнительные исследования:
- КТ-венография или МРТ-венография: Эти методы позволяют построить детальную трехмерную карту всей венозной системы таза, увидеть все извитые сосуды, их источники и возможные места сдавления.
- Флебография: Это рентгеновское исследование, которое считается самым точным методом. Через прокол в вене вводится рентгеноконтрастное вещество, и врач на экране ангиографа в реальном времени видит, как оно заполняет сосуды, выявляя все «протечки» и неисправные вены. Часто флебография является не только диагностическим, но и первым этапом лечебной процедуры.
Современные подходы к лечению: от таблеток до щадящей операции без разрезов
Стратегия лечения варикоза малого таза у женщин направлена на достижение главной цели - устранение патологического венозного застоя, который и является причиной боли и дискомфорта. В зависимости от степени расширения вен и выраженности симптомов, врач может предложить разные подходы.
Консервативная терапия: облегчение симптомов и поддержка
На начальных стадиях или в качестве подготовки к более радикальному лечению назначается комплексная консервативная терапия. Она включает:
- Прием флеботоников: Современные препараты на основе диосмина и других флавоноидов помогают повысить тонус венозной стенки, улучшить лимфоотток и уменьшить проницаемость капилляров.
- Лечебная физкультура: Специальные упражнения (например, «березка», «велосипед») без натуживания помогают активировать мышечно-венозную помпу и улучшить отток крови из таза.
- Коррекция образа жизни: Нормализация веса, диета для профилактики запоров, отказ от ношения тесной одежды и высоких каблуков, контрастный душ.
Важно понимать, что консервативная терапия - это способ управлять симптомами, но она не может "починить" неисправные клапаны и убрать уже расширенные вены.
Эмболизация тазовых вен - современная «операция» без скальпеля
Для кардинального и долгосрочного решения проблемы сегодня во всем мире применяется высокотехнологичная и малотравматичная процедура - эмболизация тазовых вен. Это не операция в классическом ее понимании. Вмешательство проводится эндоваскулярным хирургом в специальной рентгеноперационной.
«Для многих женщин, годами страдавших от тазовой боли и отчаявшихся найти причину, эмболизация становится настоящим откровением. Это элегантный, точечный метод, позволяющий "выключить" больные вены из кровотока изнутри, без единого разреза. Когда пациентка приходит через месяц на контрольный осмотр и говорит, что впервые за много лет живет без боли и дискомфорта это лучшее подтверждение эффективности этой уникальной технологии».
— Шорова Милана Хамидовна., Флеболог, сердечно-сосудистый хирург, лимфолог Сосудистого центра «Флебоэксперт»
Процедура проходит под местной анестезией. Через небольшой прокол (размером 2-3 мм, обычно в области шеи, локтя или паха) в вену вводится тончайший катетер. Под постоянным контролем рентгеновского аппарата врач проводит этот катетер по сосудистому руслу прямо к неисправным, расширенным венам малого таза (чаще всего это яичниковые вены). Убедившись в правильном положении катетера, хирург вводит через него специальные эмболизирующие агенты - это могут быть микроскопические спирали из платины или особые склерозирующие вещества. Они, как пробка, надежно и навсегда перекрывают просвет больной вены. Кровь естественным образом перенаправляется по здоровым коллатеральным сосудам, патологический застой уходит, а вместе с ним уходит и боль. Уже через несколько часов после процедуры пациентка может вставать, а через 1-2 дня - вернуться к обычной жизни.

Почему нельзя игнорировать эту проблему и жить с болью?
Хроническая тазовая боль - это не просто неприятный симптом. Это состояние, которое день за днем истощает нервную систему, снижает работоспособность, вносит разлад в интимную жизнь и может приводить к тревожным расстройствам и депрессии. Игнорировать варикоз вен малого таза значит сознательно обрекать себя на постоянное снижение качества жизни.
Помимо психологического аспекта, длительный венозный застой в малом тазу может негативно влиять на функцию соседних органов. Он может приводить к нарушениям менструального цикла, проблемам с зачатием, а также провоцировать развитие геморроя и варикозного расширения вен на ногах, так как вся венозная система взаимосвязана. Это не та проблема, которая «пройдет сама». Без адекватного лечения варикоз будет только прогрессировать, а симптомы - усиливаться.
Комплексный подход к женскому здоровью в «Флебоэксперт»
Проблема варикоза малого таза уникальна тем, что находится на стыке двух специальностей - флебологии и гинекологии. Именно поэтому для ее успешной диагностики и лечения требуется слаженная работа команды врачей, глубокое понимание как сосудистой, так и гинекологической патологии, а также наличие самого современного диагностического и лечебного оборудования.
Если вы узнали себя в описанных симптомах, если вы устали от хронической боли и бесконечных походов по врачам без четкого диагноза, не отчаивайтесь. Велика вероятность, что причина вашего недомогания кроется именно в венах. Первый и самый важный шаг к решению проблемы - это консультация специалиста, который знает, где и как искать этого «невидимого врага». Запишитесь на прием, пройдите экспертное ультразвуковое исследование и получите реальный шанс вернуться к полноценной, комфортной жизни без боли.
Статья проверена экспертом
Данная статья прошла проверку и была одобрена медицинским экспертом. Мы гарантируем достоверность и актуальность представленной информации.
Проверяющий эксперт: Шорова Милана Хамидовна
Флеболог, сердечно-сосудистый хирург, лимфолог
Стаж: 5 лет
Дата проверки: 20.11.2025
Список литературы:
- Клинические рекомендации «Варикозное расширение вен малого таза». Разработчик: Ассоциация флебологов России, Российское общество акушеров-гинекологов. 2021 г.
- Гаврилов С.Г., Москаленко Е.П. Варикозная болезнь вен малого таза: современные аспекты патогенеза, диагностики и лечения. // Хирургия. Журнал им. Н.И. Пирогова. - 2017. - № 6. - С. 101-106.
- Богачев В.Ю., Болдин Б.В., Туркин П.Ю. Варикозная болезнь вен малого таза у женщин. Современное состояние проблемы // Consilium Medicum. 2019. №21(6). С. 58-62.
- Курбанов У.А., Давлатов А.А., Джанова Д.А. Синдром тазового венозного полнокровия у женщин репродуктивного возраста // Вестник Авиценны. 2014. № 4. С. 119-126.
